Liver

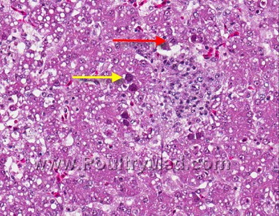
IBH. Tissue from a meat-type chicken (X400) 
Description: Liver. Disruption of the hepatic architecture by hepatocyte vacuolation and necrosis. Foci of lymphohistiocytic inflammation are demonstrated (inflammation may or may not be part of this lesion). Two types of intranuclear inclusions are observed: large basophilic inclusions (yellow arrow; complete virions by EM), and smaller eosinophilic inclusions with pink halo (red arrow; indistinguishable from herpes virus inclusions, incomplete virions by EM).
Morphologic Diagnosis: Sever, diffused, degenerative to necrotizing lymphohistiocytic hepatitis with intranuclear basophilic and eosinophilic inclusion bodies in hepatocytes.
Disease Diagnosis: Inclusion Body Hepatitis.
Additional rule out: Hydropericardium Syndrome.
Predisposing factors: horizontal infection is usually secondary to immunosuppressive insult (e.g., IBDV, CIAV). Dr Z. Raviv