BF.jpg

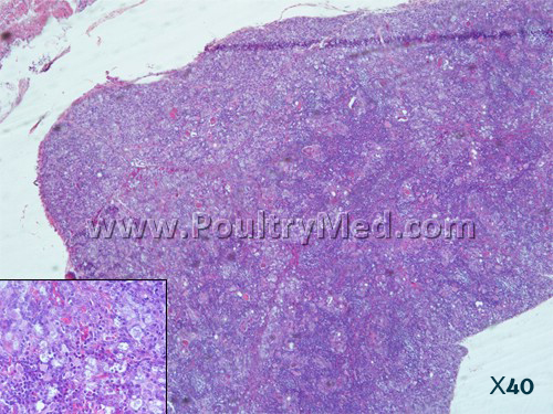
Description: Bursa of Fabricius (BF). The bursa’s follicles are demonstrated with severe to complete lymphocytic depletion, severe intrafollicular hyperplasia, and multifocal cellular necrosis and cyst formation. The interfollicular stroma is mildly expanded with lymphoplasmacytic infiltration and fibroblast hyperplasia. There is mild to moderate, multifocal, heterophilic infiltration in the interfollicular stroma and within the epithelium. The interfollicular epithelium is severely hyperplastic with numerous globular protozoal organisms (consistent with Cryptosporidium spp.) attached to the luminal epithelium surface and in the adjacent bursal lumen (lower box).
Morphologic Diagnosis: Severe, diffuse, bursal atrophy and necrosis with intralesional protozoa; bursal score - 4
Disease/Etiologic Diagnoses: 1.IBD/IBDV; 2. Cryptosporidiosis; Dr Z. Raviv.    

CIA.jpg

Description: Thymus. The thymus is demonstrated with severe lymphocytic depletion and complete loss of the organ’s cortex. The thymus medulla contains collapsed cortical connective tissue septa that are mildly expanded and increase number of myoid cells and reticular structures. There are numerous small foci with necrotic cell debris, cariorrexis, and a few foci with cellular fragments composed of nuclear and cytoplasm material, interpreted as apoptotic bodies (lower box), with no apparent inflammation.
Morphologic Diagnosis: Severe, diffuse, thymus atrophy.
Disease/Etiologic Diagnosis: CIA/CIAV