Vitamin A Deficiency

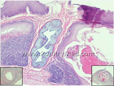
Tissue from an adult egg layer chicken (X100)
Description: The esophageal mucosa is demonstrated with 2 squamous metaplastic and 1 preserved mucous glands; normal glandular epithelium of affected glands is replaced by stratified squamous epithelial cells, squamous metaplasia. The inner surface of  this thickened epithelium is keratinized (lower left box). Ducts of the mucous glands are affected by similar marked squamous metaplasia with narrowing of the glandular infundibula and obstruction of some ducts by accumulations of keratin and cell debris (lower right box). One gland is dilated and cystic, with the cysts lined by a thin layer of keratinizing squamous epithelium. Cysts are often filled with cell debris, keratin, and basophilic material. Affected glands are partially surrounded by accumulations of  lymphocytes, plasma cells and some heterophils.

Morphologic Diagnosis: 1. Multifocal esophageal glandular squamous metaplasia and cystic dilatation; 2. Multifocal lymphoplasmacytic esophageal adenitis
Etiology: Vitamin A deficiency. - Dr Ziv Raviv